Cell membrane separates the cell from its surrounding environment and provides selective transport.
If a cell is exposed to an external electric field, cell membrane permeability is temporarily increased allowing molecules otherwise deprived of transport mechanisms to cross the cell membrane.
As electroporation is a transient phenomenon, after some time the cell membrane reseals and the transported molecules remain trapped inside the cell.
Cell membrane separates the cell from its surrounding environment and provides selective transport.
If the external electric field is strong enough, the cell membrane is permanently disrupted causing cell death.
Electrochemotherapy and ablation with irreversible electroporation (IRE) rely on achieving a good electric field distribution in the clinical target volume.
VISIFIELD can be used to visualize the electric field of the actual patient in three dimensions with electrode positions under your control. Using these results, you can ensure electroporation of the whole clinical target volume and a successful electrochemotherapy or IRE treatment.
Planning or running an electrochemotherapy or IRE clinical trial? Contact us, we can provide support with electric field visualization in order to maximize treatment outcome and patient’s benefit.
The phenomenon of electroporation is used in different research areas: medicine, cell biology, food processing, biotechnology, and others.
VISIFIELD can be used to visualize the electric field distribution in biological tissues and cell cultures and provides accurate visualization that ensures high-fidelity numerical modeling for research purposes.
Doing research in the field of electroporation or writing an article? Contact us, we can help with numerical modeling.
Tissue ablation with Irreversible Electroporation (IRE) has been used for treating various tumors, including in the brain. It requires accurate patient-specific planning, as the whole tumor area needs to be ablated.
VISIFIELD can be used to visualize the electric field of the actual veterinary patient, and provides accurate results that ensure electroporation of the whole tumor area, thus a successful IRE treatment.
Planning or running an IRE-based practice or study? Contact us, we can help with electric field visualization.
Make sure that you exactly understand the electroporation phenomenon. Numerical modeling is the way to go!
VISIFIELD can be used to visualize electric fields and change input parameters, such as field strength or electrode number and positions, in order to observe the electric field distribution based on those parameters.
Do you require an electroporation education tool? Contact us, we can help with electric field visualization.
VISIFIELD is web-based software that takes your medical images (DICOM), generates an accurate 3D tissue model, and returns an easily understandable PDF with the model and detailed information about its electric field distribution. No more guessing what electric pulses you need to set for a successful procedure – VISIFIELD lets you know in advance.
VISIFIELD assists you and guides you throughout the entire process, from importing medical images to 3D model generation and, finally, downloading the PDF with results. You can use VISIFIELD yourself – no need for engineering staff or computer knowledge!
Do you think someone should take a look at your problem? Not a problem at all – take advantage of our engineering staff for your specific case. Connect to a VISIFIELD engineer within the software and send your 3D model for manual expert evaluation from our team.
Create a new case in VISIFIELD – drag and drop the DICOM images
in the
browser and you're ready to go.
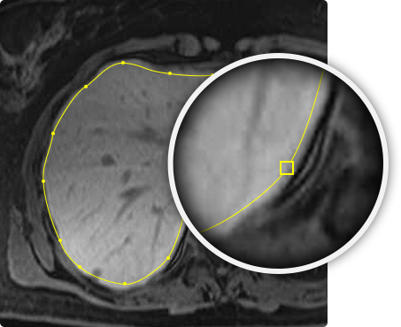
Select the target organ type and let the software automatically extract it from uploaded slices. Alternatively, you can manually segment any tissue or organ, including tumors.
You can always validate and correct the automatic segmentation results in order to have an accurate and representative 3D model.
Insert virtual electrodes into the 3D model and calculate the electric field distribution – either automatically using VISIFIELD, or by sending the generated model to one of our engineering staff to take care of it for you.
Finally, you receive a PDF with the accurate 3D model based on the imported images and visualization of electric field distribution in the model. The PDF also includes required voltages to be applied on electrode pairs and predicted electric currents.
Researcher with extensive experience in numerical modeling of electromagnetic phenomena in biological tissues. He is passionate about using his experience to bring the best results of electroporation-based treatments to patients.
Former researcher with University of Ljubljana, now working at University of Oxford. Specialized in automatic segmentation algorithms and numerical modeling.
Researcher and Ph.D. candidate with University of Ljubljana, specialized in medical image processing, segmentation and registration.
Associate member, professionally active with the Slovenian largest healthcare IT provider. With relevant knowledge in the fields of system integrations, web development and UX.
One of the world leading experts in electroporation and chair of the COST TD1104 Action which is a consortium connecting 541 researchers from 222 institutions and 41 countries - world-class experts on electroporation, working on research and applications of electroporation across the industrial and scientific spectrum.
Head of a research group in the field of experimental oncology. Mainly active in using electroporation as a mean for the transport of cytostatic drugs into tumor cells, and electroporation-facilitated gene therapy.
The VISIFIELD team has been collaborating with our team of surgeons for the sixth year now. We have performed a phase I-II clinical study where 16 patients with 29 liver metastases were treated, and working with the VISIFIELD team has been great – they always prepared treatment plans, and they were also present with us during surgery so they indeed know what they are doing.
Previous NextI'm an orthopaedic oncologist and I daily deal with bone metastases. Bone metastases are challenging in treatment, particularly in case of metastatic disease non responsive to conventional treatment (radiotherapy). The use of electrochemotherapy has added, in the past years, a new tool for pain relief in this particular group of patients. However, preoperative planning is crucial for treatment effectiveness and the development of VISIFIELD software made possible MRI and CT DICOM images processing in order to obtain a 3D model of the tumor and ease ECT needle insertion. It is a reliable and user friendly software that, image after image, permits tumor segmentation and volume rendering in metastases cases of any site (pelvis, appendicular skeleton). Software development is always ongoing and the people working on it are always willing to solve problems.
Previous NextI used the VISIFIELD software during the validation of treatment response to our irreversible electroporation (IRE) study for brain cancer. The ability to easily trace and segment multiple tissue components from MR images is very helpful and a key step for predictive treatment modeling. Additionally, I worked with Denis and Bor from their team and they were always responsive to my queries and provided assistance to solving all my problems in a timely manner. There is no doubt in my mind that this software that is being developed for electric field visualization will be critical for the successful outcome of many IRE procedures.
Previous NextI used the VISIFIELD software when working on my research on electroporation treatment for brain tumors in rats I used the software to segment the irreversible damage as well as blood brain barrier disruption caused by electroporation. I found the software very friendly. MR images are easily loaded to the website and segmentation is very easy. The segmented tissue volumes are very useful for predictive 3D treatment modeling. Additionally, I found the VISIFIELD team very helpful and knowledgeable and ready to answer any question. I believe this software is very important tool for successful treatment planning as well as for research purposes.
Previous Next